时间:2020-03-20 来源:四肢关节骨科 编辑:中心医院

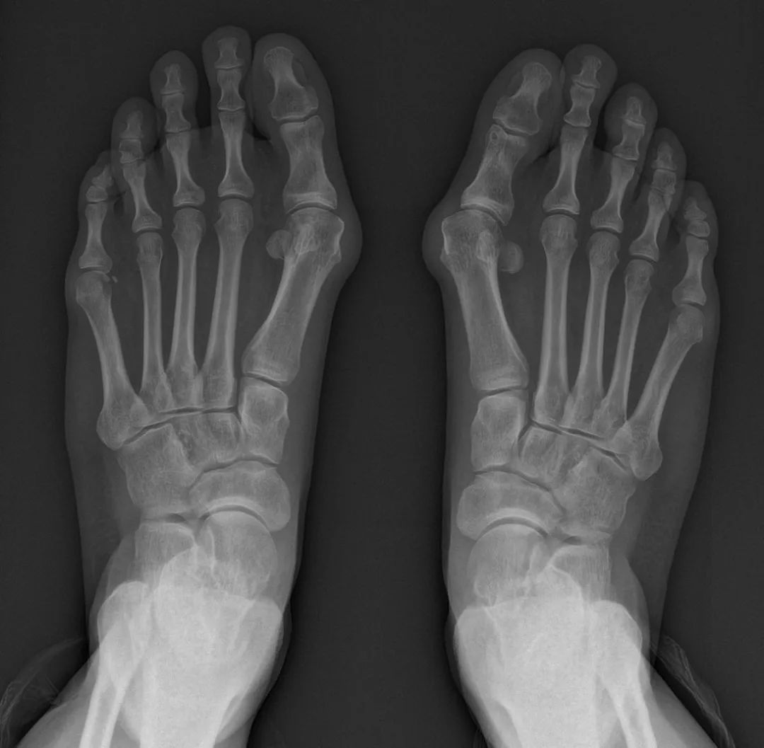
最后来到了江门市中心医院四肢关节骨科与运动医学科门诊,找到了运动医学与足踝外科亚专科马滚韶主任。通过详细的检查、AOFAS(前足)评分:20/100,FFI:146/230。负重行走时VAS评分2分。建议杜大姐进行手术治疗。
杜大姐既是惊喜,也是担心。惊喜的是终于可以解决困扰6年的疾病,担心的是那么多的医院都没有治疗好,北街医院(江门市中心医院的俗称)能治好吗?
那么拇外翻是如何引起疼痛的呢?
当脚负重时,拇趾进一步倾斜、挤压第二脚趾,内侧骨突隆起、疼痛、红肿。畸形导致第一序列级拇趾负重能力下降,使得第2-5序列及足趾在行走过程中负重增加,久而久之造成足底的疼痛和胼胝(老茧或被误诊为鸡眼),有时候还会造成第2、3趾的锤状趾畸形。
杜大姐听了我们的解析,终于明白了其中的道理,2020年1月14日于是住院接受手术治疗。
术前进行畸形角度的测量,制定确切的方案。



检查完善后明确了Mcbride+Scarf+Akin术

术中情况

术后外观照
术后第2天即可穿戴前足面负重鞋下地行走。

2020年3月2日,到术后复查的时间了,杜大姐见到马主任很开心,很开心。因为脚终于不痛了,况且变美观了。可以正常生活、工作。

从杜大姐的足踝部疾病漫长的治疗中,可以看出,足踝部疾病正确的诊断是一切治疗的保障,而这个保障需要更专业的足踝外科医师团队。
科室简介
江门市中心医院四肢关节骨科
运动医学与足踝外科
收治范围:
运动损伤
膝关节:交叉韧带断裂,半月板损伤,软骨损伤;
肩关节:肩袖损伤,肩关节脱位,盂唇损伤,冻结肩
踝关节:急慢性踝关节韧带损伤,踝关节软骨损伤,跟腱损伤
足踝外科
拇外翻畸形矫正,各种髙弓马蹄内翻足、平足症的畸形矫正,足踝部关节炎、复杂足踝部创伤骨折、足踝创伤后遗症以及足踝部运动损伤的诊治。
专家介绍

马滚韶 副主任医师
部门/科室:四肢关节骨科与运动医学科
职务:运动医学与足踝外科亚专科主任
住院医师规范化培训骨科基地教学秘书
教育背景:
2002年 毕业于中山大学临床医学系
2012年 北京积水潭医院 进修创伤骨科
2013年 广州军区广州总医院 进修关节镜
2015年 北京大学第三医院 进修运动医学
2017年 香港玛丽医院学习交流
2018年 上海市第六人民医院进修足踝外科
2019年 德国慕尼黑哈拉兴骨科医院 进修运动医学与足踝外科
突出荣誉、称号:
医院“十大优秀青年医师”
学会任职:
SICOT中国部足踝外科学会(第二届)委员
中华医学会骨科学分会足踝外科学组青年委员
广东省医学会关节外科学分会第三届委员会委员
广东省医师协会骨科医师分会(第四届)足踝外科专业组 委员
广东省医学会骨科学分会第十届委员会关节镜与运动医学学组成员
广东省医师学会运动医学医师分会第二届委员会委员
中国医药教育协会肩肘运动医学专业委员会委员
广东省医师协会运动医学分会委员
中国医药教育协会肩肘运动医学专业委员会广东培训中心常委
从医情况、专长及成就:
运动创伤,特别是膝关节交叉韧带断裂,半月板损伤,肩袖损伤,肩关节脱位,盂唇损伤。足拇外翻畸形矫正,各种髙弓马蹄内翻足、平足症的畸形矫正,足踝部关节炎、复杂足踝部创伤骨折、足踝创伤后遗症以及足踝部运动损伤的诊治。
出诊时间:
周一下午、周三下午(门诊楼7楼运动医学与足踝外科专家门诊)
周五上午:肩痛、运动医学、足踝亚专科门诊(门诊南楼5楼4号室)

徐勤 主治医师
部门/科室:四肢关节骨科与运动医学科
职务:四肢关节骨科与运动医学科宣传组长
主攻方向:运动医学与足踝外科、运动及足踝康复
教育背景:
2010年 毕业于南华大学临床医学系(原衡阳医学院)
2013年 毕业于南方医科大学,师从南方医院关节外科史占军教授,获骨外科硕士学位
2015年 完成AO Trauma Course Basic Principle ofFracture Management
2016年 在和平外科医院进修手显微外科
2016年 完成AO trauma Course—Foot & Ankle;完成北医三院肩关节镜培训课程
2017年 完成 Joint Surgery Seminar-What's new intotal knee replacement Course
2018年 完AO trauma Current Concepts Course withLower Extremity
2019年 完成AO trauma Course—Foot & Ankle
2019年 北京积水潭医院进修创伤骨科师从肩关节外科专家黄强教授
北京积水潭医院进修足踝外科师从全国足踝外科专家武勇教授
突出荣誉、称号:
医院“优秀医师”、“优秀青年医师”、全国中青年骨科医师手术标准化大赛荣获优胜奖、广东省远海民兵训练获“军事训练先进个人”。
学会任职:
中国医药教育协会肩肘运动医学专业委员会委员
广东省医师协会运动医学医师分会第二届委员会青年医师专家组成员
广东省医师协会运动医学医师分会第二届委员会下肢专业组成员
大湾区康复医学会足踝健康专业委员会第一届委员会常务委员
广东省医学会运动医学分会第六届委员会基础组成员
江门市医学会运动医学分会委员
从医情况、专长及成就:
运动损伤及足踝疾病保守治疗,运动损伤及足踝疾病的早期康复指导及治疗。
肩关节运动损伤,肩袖撕裂,肩关节脱位,肩关节镜技术;肘关节运动损伤,网球肘;膝关节运动损伤,前后交叉韧带损伤的镜下处理;类风湿性关节炎及老年性骨关节病的镜下处理。
足踝部疾病治疗,畸形纠正(拇外翻,高弓足,扁平足,马蹄内翻足,骨折后遗症等足踝部畸形纠正,先天性足踝畸形矫正),踝关节运动损伤微创手术治疗(韧带、软骨损伤,扭伤后遗症),足踝部创伤的治疗,足踝部关节炎融合手术,踝关节阶梯治疗,SMO、踝关节置换手术。
特殊技术:微创跟腱断裂修复术、跟骨骨折治疗、SMO保踝治疗、透视下金准定位重建膝关节前交叉韧带、复杂型髌骨脱位的修复重建

罗裕强 主治医师
部门/科室:四肢关节骨科与运动医学科
职务:四肢关节骨科与运动医学科宣传组成员
主攻方向:运动医学与足踝外科、运动及足踝康复
腕关节疾病的诊断与治疗
肌骨超声的诊断与介入治疗
PRP(富血小板血浆)治疗
教育背景:
2015年 毕业于南方医科大学临床医学(本硕博连读),获取博士学位
2016年 完成AO Trauma Course Basic Principle ofFracture Management
2017年 在和平外科医院进修手显微外科
2018年 完成Association of Regenerative Medicine举办的PPRlevel-1培训班
2018年 完成中国健康促进基金会骨伤愈合PRP合作中心培训班
2019年 完成AO Trauma Course Advanced Principleof Fracture Management
2019年完成AO Hand & Wrist new Technique Training Course
2019年 完成了由世界腕关节镜学会、亚太腕关节医学会、香港手外科医学会和北京积水潭医院联合认证的北京国际腕关节镜学习班高级课程的学业及腕关节镜操作技能的培训
2019年 完成中山大学孙逸仙医院超声引导疼痛注射技术培训班
突出荣誉、称号:
医院“优秀医师”“优秀青年医师”
学会任职:
大湾区康复医学会足踝健康专业委员会第一届委员会委员
广东省中医药学会手足外科专业委员会第一届委员会委员
从医情况、专长及成就:
肩关节疾病:运动损伤,肩袖撕裂,肩关节脱位,肩关节镜技术;膝关节运动损伤,前后交叉韧带损伤的镜下处理;类风湿性关节炎及老年性骨关节病的镜下处理。
足部、踝部疾病:畸形纠正(拇外翻,高弓足,扁平足,马蹄内翻足,骨折后遗症等足踝部畸形纠正,先天性足踝畸形矫正)踝关节运动损伤微创手术治疗(韧带、软骨损伤,扭伤后遗症)踝关节骨折,pilon骨折,踝关节炎融合手术,踝关节置换手术。
腕关节疾病:运动损伤、TFCC(三角纤维软骨复合体)损伤、腕关节韧带损伤、腕关节融合等;
肌骨超声的介入及PRP治疗:狭窄性腱鞘炎、冻结肩、肱二头肌长头肌腱炎、肩袖损伤、肩峰撞击症、网球肘、腕管综合征、足底筋膜炎等。