专题专栏
专科能力报告

专科能力报告-医疗篇㉞ | 以精准诊疗做风湿患者最坚实的“医”靠!

时间:2025-12-05    来源:风湿免疫科    编辑:

《国家卫生健康委关于推动临床专科能力建设的指导意见》指出:临床专科能力建设是医院建设发展的根本任务,是医疗机构服务患者的重要基础,是引领公立医院高质量发展的重要内容,对构建优质高效医疗卫生服务体系和保障人民健康具有重要意义。


西江潮涌,医脉绵长。在粤港澳大湾区西翼,江门市中心医院历经百年积淀,正昂首挺进第二个新的百年辉煌。2025年底,江海新院区首期将投入使用,“一体两翼多极”新格局正在加快推进实现。在“十四五”规划收官和“十五五”规划的谋划之年,我们推出专题策划《专科能力报告》,全面展示各专科实力和风采,以砥砺全体仁济人不忘初心、奋勇前行!


这一个个专科,是秉持“德高医精 仁心仁术”院训,紧跟时代发展步伐,按照国家卫健委总体部署奋力改革提升的优秀集体。我们以改革不避己短的勇气、奋进敢于自励的信心梳理学科脉络,以全景视角呈现临床、医技、护理三位一体的综合实力。这不仅是一份能力清单,更是一部镌刻着仁济医者初心与智慧的奋斗史诗。


江门市中心医院

风湿免疫科

我们的专科




江门市中心医院风湿免疫科于2018年独立成科,是五邑地区最早独立设置的风湿病专科。经过多年发展,科室已构建起专科优势突出、人才梯队完善、设施配置完善的特色发展格局,成为集医疗、教学、科研于一体的区域风湿病诊疗核心阵地。


科室目前开放病床33张,年门诊量超8万人次,年收治住院患者约1500人次,诊疗范围覆盖类风湿关节炎、系统性红斑狼疮、强直性脊柱炎、痛风、干燥综合征等常见及疑难风湿免疫性疾病。作为广东省医学会风湿免疫分会常委单位及江门市医学会风湿免疫分会主委单位,科室同时是国家临床药物试验备案专业,也是国家住院医师规范化培训基地,持续助力区域风湿免疫学科诊疗水平提升与人才培养赋能。




我们的专长




核心技术:精准攻克风湿免疫疑难病症


  • 生物制剂靶向治疗


作为近年来风湿免疫病治疗领域的突破性进展,生物制剂能够精准作用于疾病发生发展中的关键细胞因子,通过特异性拮抗或阻断其活性,实现高效、定向的靶向治疗。相较于传统泛靶点免疫抑制剂,生物制剂具有疗效更确切、不良反应更少、疾病缓解率更高的优势。


目前,该科已常规开展多种生物制剂的临床应用,覆盖系统性红斑狼疮、类风湿关节炎、强直性脊柱炎、成人Still病及免疫相关葡萄膜炎等多种风湿免疫性疾病,是五邑地区生物制剂种类最齐全、临床使用经验最丰富的专科之一。通过结合生物制剂与传统免疫抑制剂的个体化联合治疗策略,显著提升了相关疾病的治疗成功率和患者长期预后。


  • 免疫性不孕与不良妊娠的综合诊治


免疫因素约占原发性不孕病因的10%。科与生殖医学中心建立深度协作机制,针对抗磷脂综合征、自身免疫性卵巢炎等免疫相关不孕及反复流产患者,制定个性化免疫治疗方案。通过精准评估与规范干预,有效改善免疫性不孕及不良妊娠结局,提升临床妊娠成功率。


  • 结缔组织病相关性肺间质病变的整合治疗


结缔组织病累及呼吸系统常导致间质性肺病,具有高发病率与高致死率,且对常规治疗反应有限。科采用以糖皮质激素为基础,联合免疫抑制剂与生物制剂的整合治疗方案,可有效控制肺部炎症、延缓纤维化进程,显著减轻患者肺部病变程度,切实提升患者生活质量。


  • 痛风石清理术


痛风石清理术是通过手术方式去除关节及周围组织中沉积的尿酸盐结晶(痛风石)的治疗手段,主要用于痛风石患者的严重影响功能、外观或保守治疗无效的情况。


特色诊疗技术:精准赋能风湿免疫病诊断与治疗


  • 唇腺活检技术


作为干燥综合征诊断的“金标准”,唇腺活检在血清学指标阴性或临床表现不典型的患者中具有关键的诊断价值。该技术不仅能明确疾病诊断,还可客观评估腺体炎症程、判断疾病活动性,并辅助预测淋巴瘤转化风险,为个体化治疗方案的调整提供科学依据。



  • 滑膜活检技术


通过获取关节滑膜组织进行病理学分析,滑膜活检为关节疾病的精准诊断、治疗方案制定及预后评估提供核心支撑。该技术尤其适用于长期不明原因关节肿痛、疑似感染性关节炎、常规治疗效果不佳或疑难风湿病患的关节炎患者。


该科是五邑地区首个具备独立开展唇腺活检与滑膜活检能力的专科,标志着科室在风湿免疫病精准诊疗领域走在区域前列。


先进设备矩阵:支撑风湿免疫病精准诊疗


  • 肌骨关节超声


作为科室特色核心技术之一,肌骨关节超声凭借无创、实时、高分辨率等优势,已成为风湿免疫病早期诊断与动态管理的重要工具。在炎性关节病、类风湿关节炎、痛风等风湿免疫病的早期诊断、病变程度评估及治疗效果监控中发挥关键作用。依托超声引导,还可实现精准关节腔穿刺、药物注射及介入治疗,为患者提供个性化、精细化的诊疗方案。



  • 微创针刀镜


相较于传统关节镜手术,微创针刀镜创伤更小,借助可视化镜头,可在直视下高效完成关节腔灌洗、清除痛风石及炎性沉积物,并同步进行靶向组织活检,实现“边诊边治、诊疗一体”。



  • 风湿免疫联合实验室


我院在2024年建立珠中江地区唯一的风湿免疫联合实验室,对于促进风湿免疫学科发展、实现对专科疾病的精准治疗具有重要意义。能及时开展新的重要的免疫标志物检测,可显著促进学科发展,打造区域性风湿免疫检验中心。





我们的专家




● 学科带头人


冯明亮

风湿免疫科主任,主任医师,中山大学医学博士,美国加州大学尔湾分校(UCI)医学中心访问学者,岭南名医,滑膜活检术团标制定专家,广东省多个省级风湿病学专业协会常务委员。


深耕风湿免疫领域二十余载,始终专注于系统性红斑狼疮、强直性脊柱炎、类风湿关节炎等疑难重症的临床诊疗与科研攻关。积极推动国际前沿技术与临床实践深度融合,率先在区域内引进并规范开展唇腺活检、滑膜活检等精准诊疗技术,显著提升疾病早期诊断率与治疗有效性。凭借精湛的医术在业内获得广泛认可,同时赢得了广大患者的信任。


欧阳楚君



风湿免疫科副主任,主任医师,中山大学临床医学七年制硕士。现任广东省基层医药学会痛风防治与管理专委会常务委员、江门市医学会风湿病学分会副主任委员兼秘书。长期致力于风湿免疫疾病的临床、教学与科研工作,擅长系统性红斑狼疮、干燥综合征、类风湿关节炎等常见及疑难病症的诊治,临床经验丰富,深受患者信赖与同行认可。作为科室教学骨干,担任院内教学督导专家。2023年获得医院临床教师技能比赛一等奖,并在中山大学第十七届临床教师教学技能大赛中获三等奖;曾获评“优秀规培带教老师”“优秀实习带教老师”。



● 人才队伍


江门市中心医院风湿免疫科打造了一支结构合理、梯队完善的核心人才团队。科室现有医师11名,均毕业于国内知名医学院校,其中博士1名、在读博士1名、硕士9名,高学历人才占比超90%;职称结构涵盖主任医师4名、副主任医师2名、主治医师3名及住院医师2名,形成以中青年骨干为核心力量、“老中青”相结合的传帮带培养体系,为持续提升诊疗质量提供坚实的人才保障。科室针对性组建了系统性红斑狼疮和干燥综合征两大专病多学科诊疗(MDT)团队,联合呼吸科、消化内科、神经科、血液科、影像科、检验科等多学科专家,打破学科壁垒,整合优势资源,打造“一站式”精准诊疗平台,为复杂、疑难风湿免疫疾病患者量身定制全方位解决方案。


● 学术影响力


科室坚持临床与科研并重,科研能力持续提升。近年来,先后承担多项市级科研课题,学术论文多次发表于《中华风湿病学杂志》等国内外核心期刊。团队成员多人担任广东省风湿免疫学会委员、江门市医学会风湿免疫分会委员等学术职务,参与国内外高水平学术交流,紧跟学科前沿动态。




我们的坚守




风湿免疫科始终将医疗质量持续改进作为核心工作,常态化筑牢诊疗安全防线。科室定期组织疑难病例研讨,召开质控小组会议,系统分析关键医疗指标,并对类风湿关节炎、系统性红斑狼疮等重点病种实施专项质控管理,推进诊疗规范化与同质化建设。


为深入践行“以患者为中心”的服务理念,科室自去年起全面推行多学科诊疗(MDT)常态化机制,打破专科壁垒,为每位疑难危重患者量身定制个体化、精准化治疗方案。近两年来,科室收治的危重症患者数量逐年增加,而抢救成功率也稳步提升,充分彰显团队在疑难危重症诊治领域的综合实力。与此同时,患者满意度连续两年保持85%以上,且呈持续上升趋势。依托电子病历系统,科室对疗效相关指标进行实时追踪,结合患者反馈动态优化诊疗路径,切实做到“疗效可测、过程可溯、质量可控”,全力为患者提供更安全、高效、优质的医疗服务。




我们的故事




● 为罕见病患精准诊疗


2025年6月,55岁黎女士因持续一个月反复低热、四肢酸痛伴咳嗽胸闷入院呼吸科,其有系统性红斑狼疮病史且停药多年。初步检查提示烟曲霉感染,抗真菌治疗后发热未缓解,还新增低钠血症及夜间胡言乱语、肢体不自主运动等神经精神症状,因怀疑原发病活动转入风湿免疫科。


风湿免疫科欧阳楚君副主任接诊后,发现患者自身抗体谱更符合干燥综合征,需鉴别颅内感染与原发病活动,随即安排头颅MRA、腰椎穿刺及脑脊液相关检测。鉴于病情复杂,科室迅速启动多学科协作诊疗(MDT),联合神经内科、呼吸科等多科室专家会诊。结合影像学双侧丘脑及颈髓异常信号、脑脊液AQP4抗体阳性结果,最终明确诊断为“干燥综合征合并视神经脊髓炎”。


治疗上,科室果断调整方案,采用大剂量激素冲击联合人免疫球蛋白诱导缓解,后续辅以激素减量及生物制剂治疗,同时持续抗真菌感染。调整后黎女士体温恢复正常,神经精神症状显著改善,各项异常指标逐步纠正,肺部感染也得到控制,出院时对医护团队深表感谢。


原发性干燥综合征中枢神经系统受累患病率仅1%~2%,本次诊疗攻坚既彰显了科室疑难免疫性疾病诊疗实力,也体现了多学科协作的价值。科室将持续探索精准诊疗路径,为更多患者点亮希望。


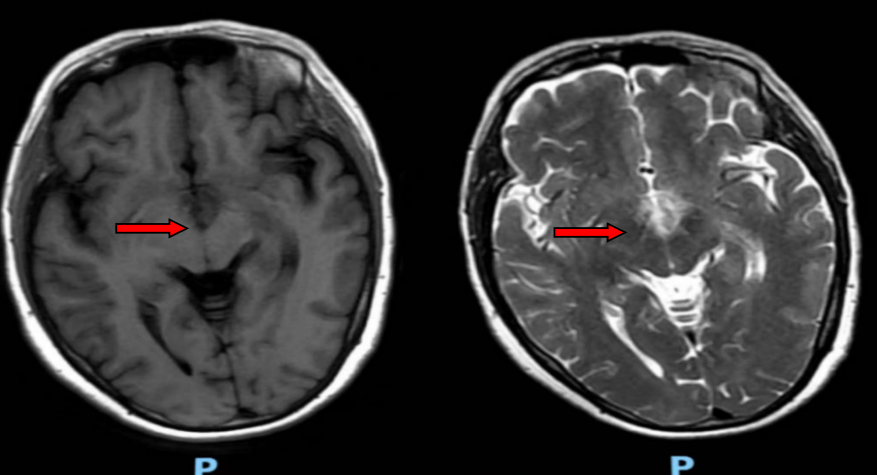
△治疗前头颅MR提示双侧丘脑内侧、灰结节脑实质异常信号影

治疗后双侧丘脑内侧、灰结节脑实质异常信号影减轻


● 护士在坚守中见证新生


护理39床82岁张婆婆的20个日夜,成为护士关子程护理生涯中深刻难忘的经历。老人因长期卧床引发左侧大转子不可分期压力性损伤,4.5cm×5cm的厚硬黑痂下,是深达肌腱的3cm创面,疼痛让她抗拒翻身,家属也满是焦虑。


每日换药前,关子程都会蹲在床边陪婆婆聊家常,逐步建立信任;清创时动作轻如捻羽,生怕损伤新生组织。20分钟的换药流程常让她汗湿工作服、腰背酸痛,但看着婆婆从抗拒到主动配合,轻声说“不疼,你放心弄”,所有疲惫都化作坚持的动力。前5天伤口毫无起色,家属满心焦急,关子程一边耐心解释愈合需循序渐进,一边调整护理方案,增加营养监测频率。直到第6天,伤口周边长出肉芽、异味减轻,这份欣喜让她倍感珍贵。


护理中,关子程格外注重人文关怀,用屏风遮挡保护隐私,联合家属定制低糖高蛋白食谱,还手把手教他们翻身按摩技巧。20天里,从黑痂清除到肉芽新生,再到上皮组织爬行,婆婆体重增加、血糖稳定,创面逐渐愈合。



这场与压力性损伤的“持久战”让关子程深知,护理不仅是专业操作,更需耐心与温度。护士与患者、家属的同心同行,终将凝聚成生命的力量,她也将带着这份专业与温暖,继续守护每一位患者的健康与尊严。




我们的未来




风湿免疫科将以“精准诊疗、亚专科深耕、智慧赋能”为核心策略,构建风湿免疫疾病全周期诊疗与健康管理体系,全力助推区域诊疗水平提质升级。


  • 亚专科建设:精准聚焦四大方向


一是聚焦关节炎方向,整合痛风性关节炎、强直性脊柱炎(AS)、类风湿关节炎(RA)、银屑病关节炎(PSA)诊疗,以“早期滑膜活检确诊-针刀镜微创干预-关节功能保护”为核心,有效延缓疾病进展、降低致残率。同步打造痛风及高尿酸血症“尿酸全程管理中心”,整合代谢评估、个体化降尿酸方案及痛风石微创治疗,实现全链条闭环服务。


二是聚焦干燥综合征方向,建立“腺体功能评估-免疫调节-并发症防治”一体化诊疗路径,开展唇腺活检联合自身抗体精准分型技术,优化靶向干预方案。


三是聚焦系统性红斑狼疮方向,强化“多器官评估-个体化免疫方案-动态监测”全流程管理,搭建多学科协作(MDT)平台,为复杂病例提供一站式精准诊疗服务。


四是聚焦拓展肌炎、间质性肺病(ILD)、血管炎等诊疗方向,全面完善专科服务覆盖。同时推进发热及疑难疾病诊治中心建设,整合多学科资源,建立“联合排查-精准检测-定制方案”标准化流程,定期开展多学科病例讨论,显著提升不明原因发热(FUO)与疑难风湿免疫病的诊断准确率及治疗效果。


  • 技术创新:打造高效便捷的全周期健康管理生态


持续推广唇腺活检、滑膜活检技术,提升诊断精准度,扩大痛风石清除术、针刀镜微创治疗应用范围,减轻患者痛苦。将滑膜活检、关节彩超纳入常规诊疗体系,为病情评估与疗效判断提供坚实依据。智慧医疗领域,搭建AI辅助诊断平台,动态追踪患者核心指标并智能提示治疗调整建议,提升慢病管理依从性;联合互联网医院构建“线上咨询-用药指导-康复随访”全流程服务通道,打造高效便捷的全周期健康管理生态。


  • 学科发展:深化医研融合与人才培养


深化科研与临床深度融合,围绕亚专科方向重点申报省级以上科研课题,完善药物临床试验质量管理规范(GCP)实践体系,推动科研成果与临床应用高效转化。加强与大湾区顶尖诊疗中心的合作交流,系统培养青年骨干人才。


  • 服务升级:打造有温度的服务品牌


拓展互联网医院延伸服务,开设线上慢病管理专属板块;构建“诊疗-康复-随访-健康管理”全流程服务生态,为患者提供个性化康复指导、科学营养方案及专业心理支持,全力打造兼具精度与温度的专科服务品牌。




来源:风湿免疫科

二审:医务部 余绮荷、风湿免疫科 冯明亮、统战宣传科 谭淑欣

三审:医务部 张春来、统战宣传科 廖欣

编辑:徐蓓蓓(江门日报)

相关附件: