时间:2026-03-18 来源:江门市中心医院 编辑:余彤泳 萧杏贤

当病危通知书递到小程(化名)父母手中时,天塌了。15岁的小程,原本只是轻轻撞了一下头。谁也没想到,短短三周后,他会躺在ICU里,面临着颅内大出血、脑疝、甚至心跳骤停的生死一线。
真正将小程推入绝境的,并不是那次“磕碰”,而是一种起病急、出血风险极高的血液病——急性早幼粒细胞白血病(APL,俗称M3)。
而最终,让这个少年重获新生的,不是开颅手术,而是一剂“毒药”——砒霜。


危机突袭
一个不起眼的“包”
引爆了颅内炸弹
三周前,小程不小心撞到了头,头皮起了个小血肿,家人并未在意。可随后,他开始持续头痛、头晕、耳鸣,紧接着发热、呕吐接踵而至。到医院一查,结果令人震惊:
白细胞飙升至65×10⁹/L,异常细胞疯狂增殖;
血小板却骤降至16×10⁹/L,凝血功能全面崩溃;
骨髓中大量“早幼粒细胞”异常增生;
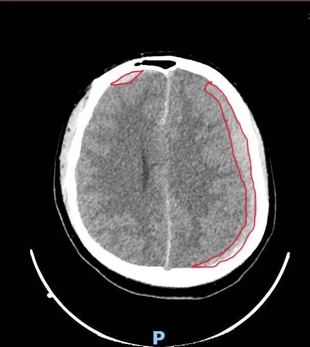
头颅CT显示:颅内大出血,血肿正在压迫大脑中枢。
这不是磕碰惹的祸,而是一种极其凶险的白血病——M3,已经悄然引爆了“体内炸弹”。
【科普小课堂】
这正是M3发出的夺命信号,这种白血病“偏爱”中青年人(平均发病年龄为44 岁),它最恐怖的杀伤武器并不是肿瘤本身,而是会引发极其凶险的“弥散性血管内凝血”和严重出血倾向,尤其在起病和治疗初期,极易发生颅内出血,致死率极高。


命悬一线
开不了刀的脑出血
随时可能“爆胎”
入院后,小程的病情如同脱缰的野马,迅速恶化。骨髓穿刺和基因检测彻底“锤实”了M3的诊断。
入院第三天,小程开始出现烦躁、胡言乱语。复查CT显示:血肿扩大,脑组织受压,出现“大脑镰下疝”——这意味着,控制呼吸和心跳的脑干随时可能被压迫,导致呼吸心跳骤停。
神经外科紧急会诊,却给出了一个“死局”:“有手术指征,但患者血小板极低,凝血功能崩溃。一旦开颅,极可能大出血死在手术台上,无法手术。”一边是压迫生命中枢的脑血肿,一边是“一碰就出血”的脆弱身体。外科手术的路被堵死。重担压在了内科保守治疗和血液科的抗肿瘤治疗上。这是一场没有退路的悬崖之战。



破局反击
“以毒攻毒”
不动刀的内科奇迹
“既然外科无法手术,我们就通过内科治疗来止血,并彻底清除肿瘤。”儿童重症监护室(PICU)与血液内科迅速联动,打响了生命保卫战。在PICU密切监测、全力输注血制品、降颅压的同时,血液内科果断亮出了对付M3的“王牌武器”——维A酸联合三氧化二砷(双诱导治疗)。
【科普小课堂】
三氧化二砷,俗称剧毒“砒霜”。这套由中国血液病专家首创,被誉为“上海方案”的疗法,精髓在于 “以毒攻毒、诱导分化”。它不像传统化疗那样直接“炸毁”细胞,而是强行让那些疯狂捣乱的白血病细胞“改邪归正”,走向成熟并自然衰亡。正是这套神奇的方案,使得M3的完全缓解率超过90%,长期无病生存率(治愈率)高达90%以上,实现了从“最凶险”到“治愈率最高”的历史性扭转。
辅以化疗药物压制白细胞增殖,一场不动刀、不见血的“内科手术”在小程体内展开。
半个多月里,医护人员日夜守护,奇迹悄然发生:凝血功能逐步稳定;头颅CT显示:出血停止,血肿开始吸收;意识恢复,生命体征平稳,小程顺利转回普通病房。



曙光重现
骨髓“干净”了
少年重获新生
回到普通病房后,“维A酸+三氧化二砷”的黄金组合继续发力。闯过鬼门关的小程一天比一天好转,体内的“造血工厂”重新运转。最激动人心的那一刻来了:骨髓复查结果显示,白血病细胞被彻底清除,疾病达到完全缓解! 随后的腰穿检查也让我们吃下了“定心丸”——癌细胞没有侵入中枢神经系统。
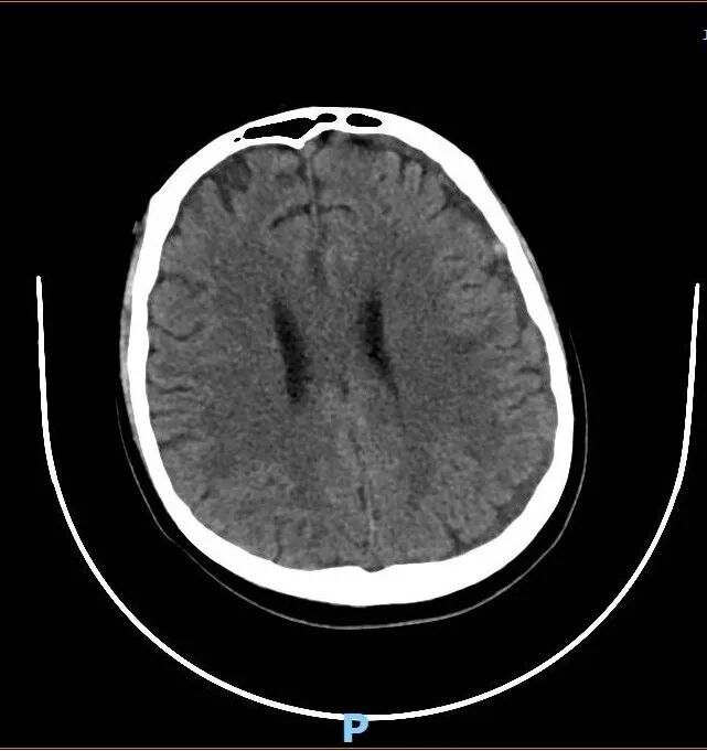
历经一个多月的生死鏖战,小程脑部血肿基本吸收,肌力逐步恢复,原本苍白的脸上,再次洋溢起属于15岁少年的青春笑容。目前他已顺利出院,未来只需定期巩固化疗,便有望彻底战胜病魔。
【科普小课堂】
很多人以为白血病很远,其实它常伪装成日常小病。如果身体发出这4个信号,必须高度警惕:
1.异常出血:轻微磕碰就出现大片淤青、血肿且难以消退;或者频繁流鼻血、牙龈出血、女性月经量剧增。
2.反复发热:不明原因的发热,退烧药或普通抗生素效果不佳。
3.不明原因骨痛:没有外伤,出现骨骼的疼痛(如胸骨压痛、四肢骨痛)。
4.贫血与乏力:脸色苍白、气喘、头晕、极度疲惫。
血液内科医生提醒:若出现上述症状,请不要“百度看病”对号入座,更不要拖延观望,建议及时到血液内科就诊,完善血常规+凝血功能检查,早发现、早诊断、早治疗,才是守护健康的关键。
撰稿:余彤泳 萧杏贤
二审:血液内科 梁惠如、统战宣传科 陈君
三审:医务部 张春来、统战宣传科 廖欣
编辑:杨嘉蔚(江门日报)