时间:2026-01-09 来源:介入医学科 编辑:

近日,江门市中心医院成功救治一名因严重外伤导致骨盆骨折合并主动脉夹层的危重患者。这位49岁女性患者的康复历程,充分展现了我院创伤中心多学科协作的优势,以及介入医学在现代急救体系中不可或缺的价值。

急诊介入
稳住生命的第一道防线

患者因外伤来诊时,CT检查提示骨盆骨折伴盆腔血肿,同时意外发现Stanford B型主动脉夹层——这是两个都可能危及生命的急症。面对如此复杂情况,介入科团队第一时间行动。
在患者生命体征尚平稳但潜在风险极高的情况下,我们结合CT增强检查及三维重建结果,考虑盆腔存在活动性出血,果断通过绿色通道经股动脉穿刺行盆腔动脉造影,竟发现至少3条动脉存在损伤情况。随即迅速以导丝导管结合技术超选择插管至出血责任动脉并成功实施栓塞术。相对传统开腹探查手术,这项微创介入技术不仅大大节省了宝贵的抢救时间,更是避免了开腹手术的创伤,用最小的代价稳定了患者的生命体征,为后续治疗赢得了宝贵时间。



MDT协作
四级手术攻坚克难

患者盆腔出血病情稳定一周后,经严格控制血压、稳定心率、卧床制动等治疗后,复查主动脉CTA提示主动脉夹层较前有所进展。主动脉疾病MDT团队——包括心血管外科、介入医学科、麻醉科、重症医学科(因患者合并骨盆骨折、血尿,还邀请了肾内科、泌尿外科、四肢关节骨科)等多学科专家进行了深入讨论,考虑该患者Stanford B型主动脉夹层累及范围广泛,如同体内“不定时炸弹”,具有限期手术干预指征,需要及时精确拆除。
△注:主动脉内膜呈螺旋形撕裂,夹层形成,随时可能因主动脉破裂、脏器缺血坏死等而危及生命。
经过周密计划,该科室制定了分阶段杂交手术方案:心血管外科先通过2处5cm的手术切口行颈动脉—锁骨下动脉搭桥,建立血流通路;接着介入科团队接力,通过3处不超过1cm的微创伤口完成胸主动脉夹层腔内覆膜支架隔绝术,并用血管塞精准封堵左锁骨下动脉起始段以避免术后支架内漏。
△手术按术前计划有条不紊地进行中。


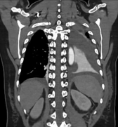
△注:支架精准定位,稳定释放,成功以“人工血管”将主动脉破口隔绝。
整台手术历时7小时50分钟,术程中患者生命体征保持平稳,总出血量控制在50ml以内。这种复杂且高危的四级手术,单靠任何一个学科都难以完美完成。正是MDT团队的精诚合作,让患者在最小的创伤下获得了最有效的治疗。

术后患者管理及追踪

即便手术成功,还没到放松的时候,围术期还有许多挑战等待解决。诸如保证患者术后生命体征平稳、血压心率达标、术后预防感染、盆腔血肿清除、骨折愈合等等,力求在治愈疾病的同时,最大化改善患者术后生活质量。



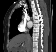
△注:患者出院后定期我科门诊复查,术后2月复查提示支架完美重建胸主动脉血管通路,原夹层内部基本血栓化,未发现相关并发症。

介入医学
现代创伤救治的“隐形翅膀”
现代医疗中,
介入技术在创伤救治中
正发挥着越来越重要的作用:
· 快速精准:血管造影能迅速定位出血点,栓塞治疗直达病灶。
· 微创安全:避免了传统开腹、开胸手术的巨大创伤。
· 承前启后:在急救阶段稳定病情,为后续治疗创造条件。
从急诊止血到血管重建,介入医学贯穿了该患者救治的全过程,体现了“介入无创”的理念优势。
这位患者的成功救治,是我院创伤中心建设成效的生动体现。它证明了在完善的急救体系下,通过多学科协作和介入技术的应用,即使面对如此复杂的创伤病例,我们也能交出满意的答卷。
专科实力
介入医学科常规开展主动脉及外周血管介入、肿瘤介入、活检消融等诊疗技术,发展成为与内外科优势互补的综合性特色专科,是广东省限制临床应用医疗技术“综合介入诊疗技术”和“肿瘤消融治疗技术”培训基地,是医院胸痛中心、消化道出血中心、创伤中心和VTE防治中心的骨干科室。2024年作为医学影像科组成科室之一,获评为广东省临床重点专科建设项目。目前,科室设有专科病房、专科门诊及介入导管室,形成完整的介入诊疗体系。科室开放病床23张,年收治病人量达1000余人次,院内多学科协作达4500余人次,年手术及操作量达3500余台。
未来,我们将继续精进技艺,与各科室同仁紧密合作,守护患者健康。

专科能力报告-医技篇④ | 毫厘之间显匠心,微创介入护安康!
来源:介入医学科
二审:统战宣传科 谭淑欣
三审:医务部 张春来、统战宣传科 廖欣
编辑:杨嘉蔚(江门日报)