时间:2025-11-13 来源:血管资讯 编辑:
在心血管外科的战场上,感染性腹主动脉瘤破裂本就是一颗“不定时炸弹”,而当其合并腹主动脉——下腔静脉瘘及深静脉血栓时,则堪称闯入了外科手术的“绝对雷区”。此类病例极其罕见,病情瞬息万变,手术难度呈几何级数增长,对医疗团队的技术实力、应急决策与围术期管理均是终极考验。
近日,江门市中心医院心血管外科成功为一名75岁高龄、身陷此绝境的患者施行急诊手术,最终化险为夷。此例手术的成功,充分彰显了江门市中心医院心血管外科在复杂危重血管外科疾病救治领域的顶尖实力。
病例资料
患者:男,75岁。
主诉:因“发热、腹痛1天”急诊入院。
既往史:有冠心病、高血压病史。
入院查体与辅助检查
生命体征不稳,存在感染性休克早期表现。
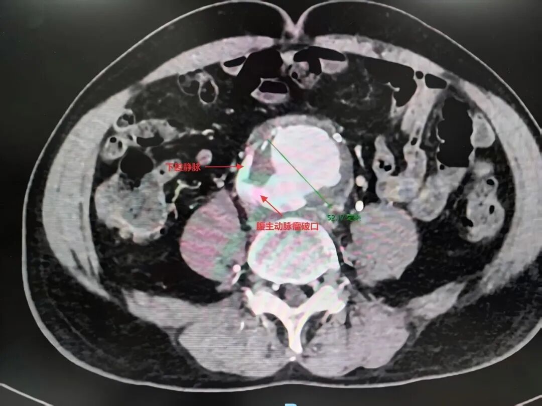
腹部CT血管成像提示:腹主动脉瘤破裂,破口与下腔静脉相通,形成腹主动脉-下腔静脉瘘;下腔静脉下段因瘤体压迫严重狭窄;左髂静脉血栓形成。
心脏冠脉造影提示:冠脉三支严重病变。


初步诊断
感染性腹主动脉瘤破裂
腹主动脉-下腔静脉瘘
下腔静脉受压狭窄
左髂静脉血栓形成
冠心病(三支病变)
治疗经过与手术策略
面对如此错综复杂、命悬一线的病情,保守治疗无异于坐以待毙。江门市中心医院心血管外科团队在经过迅速而缜密的术前评估后,当机立断,决定迎难而上,施行急诊开腹手术。
手术关键步骤:
精细解剖与血流控制:由于感染、破裂及瘘口的存在,腹腔内组织水肿粘连严重,解剖结构紊乱。心血管外科团队首先成功地游离并控制了瘤颈近远端的腹主动脉及双侧髂动脉,同时游离出破口近远端的下腔静脉,为手术创造了生命通道。
瘤体切除与瘘口修补:切开瘤体后,明确可见其向后壁破裂,并与下腔静脉形成巨大瘘口。心血管外科团队果断切除了感染的腹主动脉瘤壁,随后以5-0 Prolene血管缝线精准修补了下腔静脉破口,彻底消除了动静脉分流这一致命隐患。
人工血管置换:在彻底清创后,选用合适尺寸的人工血管,行腹主动脉-双侧髂动脉人工血管置换术,重建了躯体主干的血流通道。
兼顾静脉问题:术中同时处理了受压的下腔静脉,并针对左髂静脉血栓,采取了相应的取栓及抗凝措施,预防致死性肺栓塞的发生。
术后结果
术后患者转入ICU监护,在江门市中心医院心血管外科多学科团队的保驾护航下,患者平稳度过了感染、心功能不全、肾功能衰竭等多重难关,恢复良好,未出现相关并发症,最终康复出院。
讨 论
本例患者的救治成功,关键在于以下几点:
准确的术前诊断:迅速识别出“感染性动脉瘤破裂”与“主动脉-腔静脉瘘”这两个核心矛盾。
果断的手术决策:在患者高龄、合并症多的不利条件下,凭借丰富的经验,做出了最有利于患者的治疗选择。
精湛的外科技术:手术团队在极其困难的手术野中,实现了精准的解剖、完美的瘘口修补和可靠的血管重建。
强大的围术期支持:体现了江门市中心医院心血管外科多学科协作处理危重病人的综合实力。
专家介绍
王广阔 教授
江门市中心医院,心脏大血管外科主任,主任医师,博士,硕士生导师,广东医科大学及遵义医科大学兼职教授。
擅长主动脉夹层、动脉瘤的外科治疗及各种杂交(微创)治疗;擅长腹主动脉瘤及破裂腹主动脉瘤的外科治疗;擅长各种心脏瓣膜病、冠心病及先天性心脏病的外科治疗;擅长各种外周血管疾病如下肢动脉瘤、下肢动脉粥样硬化闭塞、下肢深静脉血栓等的外科治疗,下肢浅静脉曲张的微创及快速康复治疗(日间手术)。
专业学会任职:江门市医学会心血管外科学分会主任委员;《中国心血管病研究》杂志青年编委;《中国胸心血管外科临床杂志》审稿专家;《中国继续医学教育》杂志常务编委;广东省基层医药学会心脏大血管诊治专业委员会副主任委员;广东省健康管理学会心脏泛血管急重症专委会副主任委员;广东省医学会心血管外科分会第一届及第二届青年委员;广东省中西医结合学会心胸外科专业委员会第二届委员会常务委员。
团队优势与特色推介
江门市中心医院心血管外科
长期以来,始终致力于复杂大血管外科疾病的诊疗与研究,尤其在破裂性腹主动脉瘤的开刀手术救治方面,形成了鲜明的技术特色,并保持着区域内领先的成功率。
技术引领,攻坚克难:坚持并精进传统开刀手术技艺,敢于并善于处理各类复杂、二次手术及开放手术更具优势的病例。对于感染性动脉瘤、合并脏器瘘等特殊情况,开放手术能实现更彻底的清创和更可靠的修补,这正是团队的核心竞争力所在。
多兵种作战,综合保障:拥有一支由资深心血管外科医生、麻醉、体外循环、ICU、影像科专家组成的固定团队,能够为每一位危重患者提供“一站式”、个体化的最佳治疗方案。
传承与创新并重:在微创介入时代,开放手术的基石地位不可动摇。我们不仅熟练掌握现代介入技术,更将开放手术作为看家本领和最后防线,为患者守住生命的底线。