时间:2023-03-02 来源:江门市中心医院 编辑:
国际罕见病日是每年二月的最后一天(2月28日)。罕见病,又称“孤儿病”,是指流行率很低、很少见的疾病,一般为慢性、严重性疾病,常危及生命。

世界卫生组织将罕见病定义为患病人数占总人口的0.65‰~1‰之间的疾病或病变;国际确认的罕见病有五六千种,约占人类疾病的10%。

早期发现、早期干预
是罕见病防治的最佳途径
心肌淀粉样变
就是一种罕见的致死病!

段晓蓓
江门市中心医院核医学科
你知道“淀粉人”吗?通俗来讲,就是患者心脏长“淀粉”了。
他们罹患的是一种罕见的致死性疾病——转甲状腺素蛋白淀粉样变性心肌病(ATTR-CM),发病原因在于心脏出现转甲状腺素蛋白形成的淀粉样物质的沉积。

由于公众缺乏对这种病的了解,目前“淀粉人”大多在出现不可逆转的心力衰竭后才就诊或明确诊断,严重影响了预期寿命。
正常情况下,由肝脏合成的转甲状腺素蛋白(TTR)为可溶性四聚体,不会形成淀粉样纤维。当衰老或者TTR基因突变时,四聚体状态的TTR解离为单体,错误折叠为淀粉样纤维沉积于组织中,导致淀粉样变。
当淀粉样纤维沉积于心肌间质导致心肌病变时,即为“淀粉人”。根据有无TTR基因突变,“淀粉人”可分为突变型和野生型。
遇到不明原因的左心室肥厚合并有心电图非高电压表现的老年患者尤其是老年男性,临床表现为射血分数保留的心力衰竭时,需高度怀疑“淀粉人”的可能。
“野生型淀粉人”的中位生存期仅为诊断后43-57个月,早期诊断与及时的针对性治疗非常重要。


心电图:
可发现淀粉样蛋白沉积导致的心房颤动、房室传导阻滞等,但无法对疾病进行定性诊断及分型。

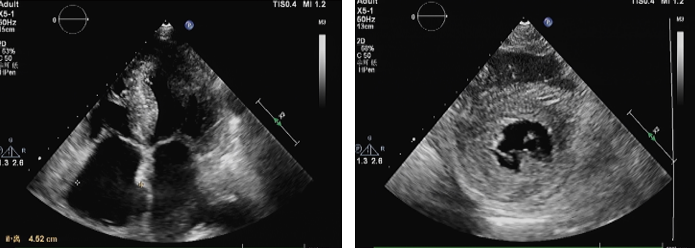
超声心动图:
舒张功能进行性恶化;左室对称增厚;在非扩张型心室的情况下对称增加的双心室壁厚度(LV壁厚> 12 mm且通常> 15 mm)。二维斑点追踪技术整体纵向应变(global longitudinal strain, GLS) 左心室最为可靠的应变指标,但不能区分淀粉样变类型。

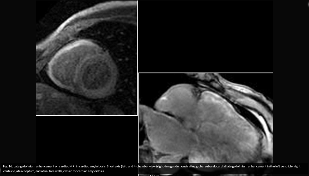
心脏MR:
淀粉样纤维心肌沉积增加心脏体积(ECV),全心心内膜下延迟性钆对比的增强(LGE),在检测LV增厚之前也可以识别T1信号异常ECV测量可能能够区分CA并且可用于监测进展;透壁增强模式与较差的预后相关,并且是死亡率的独立预测因子。心脏MR直观、可定量,但不能很好地鉴别CA亚型,目前还在研究阶段。

当心电图、心脏彩超及心脏MR检查
高度怀疑“野生型淀粉人”时
核医学核素心肌显像
来助力诊断与鉴别诊断CM亚型

核素心肌显像常用的显像剂是99Tcm-PYP,注射剂量约为20mCi(740MBq),患者检查前无需禁食。
图像评估有2种方式,包括:(一)Perugini可视化评分:0分,心脏无摄取;1分,心脏摄取低于肋骨摄取;2分,心脏摄取等于肋骨摄取;3分,心脏摄取高于肋骨摄取;(二)半定量法:99Tcm-PYP常通过心脏与对侧肺摄取比值(heart-to-contralateral lung uptake,H/CL)。
ATTR-CM的诊断标准为:心脏/肋骨比分级 :2-3 级别以上;心脏/对侧胸部( H/CL )>1.5;达到以上诊断标准,则强烈提示ATTR型心肌淀粉样变。


99Tcm-PYP心肌显像
对诊断ATTR型心肌淀粉样变具有高度的敏感性和特异性,并可能有助于其早期发现,研究报道当心肌摄取为2~3级且血清或尿单克隆蛋白阴性时,对ATTR诊断的灵敏度为97%,特异性为100%。
如图所示

病例一



99Tcm-PYP心肌显像阳性,提示ATTR型心肌淀粉样变(2020 AHA 心脏淀粉样变分级 Grade 3)

病例二



99Tcm-PYP心肌显像阴性,提示心肌淀粉样变证据不足(2020 AHA 心脏淀粉样变分级 Grade 0)【此为正常图像】
具体诊断流程如下

《转甲状腺素蛋白心脏淀粉样变诊断与治疗专家共识》,中华心血管病杂志,2021.
随着心肌淀粉样变的研究逐渐深入以及针对ATTR特效药物的研发,临床医生不仅仅关注利用核医学显像诊断心肌淀粉样变并分型,还包括图像筛选合适的患者进行药物治疗、利用核医学图像对心脏受累程度进行定量或半定量分析、疗效监测和预后评估等。
“野生型淀粉人”确诊后,中位生存期较短,部分常规抗心衰治疗甚至可能会加重病情。因此,临床医生需提高对此类病例的筛查意识,尽早完善各项检查,实现对该病的早筛、早诊和早治。

九大“警示征”
助力锁定高危人群
一、老年心衰(LVEF≥40%),左心室无扩大伴原因不明的左室肥厚(LVH);
二、超声心动图示LVH而心电图无QRS高电压表现;
三、肌钙蛋白持续低水平升高;
四、老年人低压差,低流速主动脉瓣狭窄,伴右心室肥厚;
五、因低血压(特别是体位性低血压)不耐受血管紧张素系统抑制剂和/或β受体阻滞剂;
六、多发周围神经病变(PN),特别是伴有自主神经功能异常(不明原因腹泻与便秘,体位性低血压,尿潴留、尿失禁等);
七、家族性PN;
八、老年人双侧腕管综合征和/或腰椎管狭窄;
九、反复双眼白内障。

根据2021发布的《转甲状腺素蛋白心脏淀粉样变诊断与治疗中国专家共识》,具有1条及以上特征的患者,应高度警惕,并完善相关筛查检查。
作者简介
段晓蓓
副主任医师、核医学住培基地教学秘书。
教育和职业背景:
2011年中山大学影像医学与核医学(临床型)硕士研究生毕业,获硕士学位。2011.07-至今,江门市中心医院核医学科工作。
2018.12通过核医学副主任医师评审。曾于2012.09到南方医科大学附属南方医院 PET中心进修学习。
学术论文:
在《中华核医学与分子影像学杂志》、《中国医学影像技术》、《国际放射医学核医学杂志》等国内核心期刊发表论文11篇。
荣誉称号:
第二届医师节获评“优秀青年医师”。
学术任职:
广东省医师协会核医学分会PET/CT学组委员、广东省保健协会甲状腺保健分会常委、广东省医学会核医学分会青年委员。
执业专长:
PET/CT、SPECT/CT的影像诊断;甲亢同位素碘-131治疗及内科治疗;甲减、甲状腺炎、甲状腺癌、甲状腺结节等甲状腺疾病的诊断和治疗;婴幼儿皮肤血管瘤、成人瘢痕增生的核素敷贴治疗。
撰稿:核医学科 段晓蓓